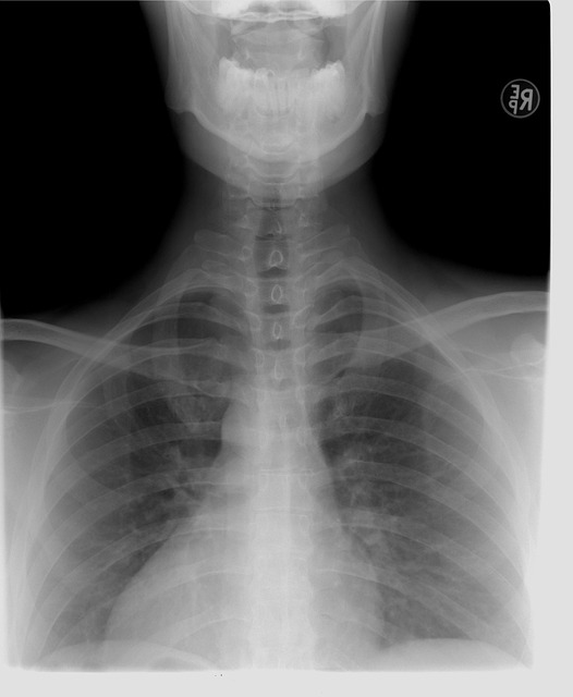
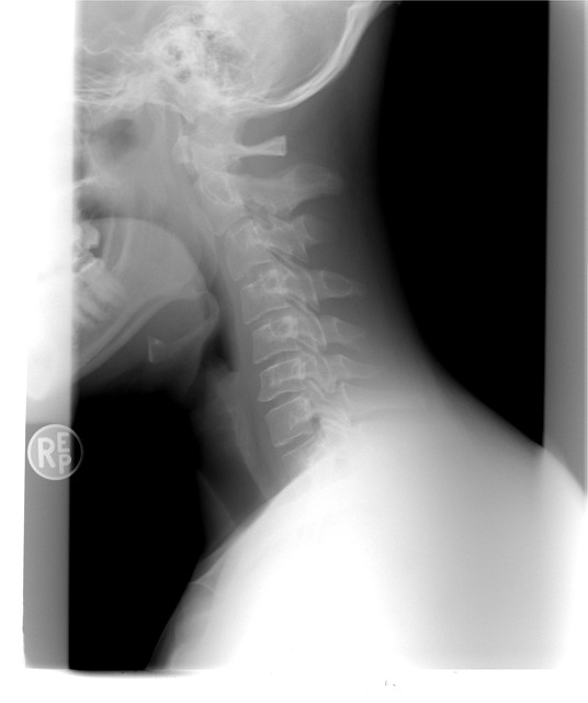
Skolióza páteře
Je opravdu hodně smutné, pokud vás bolí záda, já tohle moc dobře znám. Nejsem už nejmladší, ale také nejsem samozřejmě nejstarší, ale řeknu vám, že někdy ta bolest zad je opravdu hrozná. Někdy ta bolest zad je opravdu neúnosná. Mám bohužel skoliózu páteře, skoliózu, páteře mi zjistili, když mi bylo sedmnáct let. Ještě jsem nebyla ani plnoletá a už jsem měla problémy se zády. Moje maminka tomu nemohla stále uvěřit a stále dokola se ptala pana lékaře. Jestli se třeba nespletl, že já rozhodně nemůžu mít skoliózu páteře, maminka si to myslela, protože jsem závodně dělala aerobik a také jsem plavala a říkala si, že rozhodně nemůžu mít žádné zdravotní problémy a už vůbec ne skoliózu páteře.

Cviky na skoliózu páteře cvičím pravidelně. Myslím si, že i když vy máte skoliózu páteře a budete vážně pravidelně cvičit cviky na skoliózu páteře, že uděláte rozhodně dobře, protože když se na to vykašlete a vůbec nebudete chtít cvičit žádné cviky, které jsou na skoliózu páteře, tak samozřejmě, že se vám tohle vůbec nikdy nezlepší. A já si myslím, že každý člověk chce, aby se mu záda zlepšila, aby ho třeba nebolela záda. Vezměte si třeba například, že jsou i lidé, kteří mají problémy se zády už od narození? Třeba mají něco s ploténkami anebo s klouby a tak podobně. Tohle je potom opravdu něco hrozného, co člověka hodně trápí.

Tak je dokonce někdy člověk kvůli těmto problémům se zády může skončit IV invalidním důchodu. Samozřejmě, že tohle už je takový ten nejzazší a nejhorší problém, který může nastat. Jo, pokud i vy máte skoliózu, tak rozhodně také doporučuji, abyste šli na nějakou rehabilitaci anebo také k nějakému lékaři, aby se na vás ještě několikrát podíval, protože nemusíte brát ihned názor v potaz jenom od jediného lékaře, můžete si také sehnat několik různých diagnóz a potom si ujistíte, co vám vlastně je. Samozřejmě, že lékař to ví vždycky nejlépe anebo třeba také pediatři anebo ti lidé, kteří se zabývají rehabilitací a podobně. Nicméně bych doporučovala, že když máte skoliózu, abyste vážně pravidelně cvičili cviky na skoliózu páteře, protože vám to rozhodně pomůže.